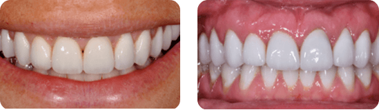
Reconstrucción Completa de la Boca
Se refiere a la reconstrucción y / o reemplazo de todos los dientes en la boca de un paciente. Las reconstrucciones bucales completas combinan la estética con la ciencia de la odontología restauradora para mejorar la salud, la función y la belleza de la boca.
Cotización gratuita

Este es un procedimiento que se realiza para rehabilitar la estética y la funcionalidad de la boca de pacientes con varios dientes perdidos, daño severo del esmalte, decoloración, fracturas y mala estética en general.

El objetivo principal es poder mantener la mayor cantidad de dientes en la boca como sea posible reparando todo lo que esté dañado, roto o faltante, con coronas, carillas, o simplemente con restauración de resina y eliminación de caries, además de blanqueamiento.

El objetivo principal es poder mantener la mayor cantidad de dientes en la boca como sea posible reparando todo lo que esté dañado, roto o faltante, con coronas, carillas, o simplemente con restauración de resina y eliminación de caries, además de blanqueamiento.

Las dificultades de no poder comer, tener decoloración, falta de hueso o problemas estéticos se analizan para que sean lo menos invasivas posible con las piezas dentales presentes.

Para un plan de tratamiento adecuado, necesitaremos realizar estudios y fotografías radiográficas específicas. De esta forma, podremos analizar el nivel y la calidad del hueso en caso de que necesitemos colocar un implante.

Nuestros dentistas y coordinadores de pacientes siempre piden radiografías o fotos digitales para dar el presupuesto más preciso para su caso.

Su plan de tratamiento y los días que visita nuestra clínica están planificados para colocar todo y llevar a cabo las pruebas de control, necesarias para su tranquilidad y la nuestra. Para Nature Smile, tu sonrisa es nuestro mejor anuncio.

Antes

Despues

Cotización gratuita

Best time to call*